Tandställning
Tandreglering används ibland istället för porslinsfasader och porslinskronor och kan även användas som behandlingsalternativ hos en del vuxna. Idag finns det både avtagbara och fastlimmade versioner av tandställningar.
Osynlig tandställning för vuxna i Stockholm
Drömmer du om ett vackert leende utan synliga tandställningar? I så fall erbjuder osynlig tandställning i Stockholm för vuxna, inklusive Invisalign och ClearCorrect, den lösningen du behöver. Dessa metoder tillåter dig att diskret och bekvämt rätta till dina tänder utan att någon märker. Således, omvandlar de ditt leende utan att påverka din självkänsla.
Hur fungerar osynlig tandställning?
Erbjudande-gratis konsultation för tandställning
Ta reda på om du är en bra kandidat och ta del av din tandställnings konsultation- helt gratis (värde: 1449kr)
Vad ingår i konsultationen ?
- Klinisk undersökning
- Digital avtryck och digitala foton
- Presentation av ett digitalt 3D modell på behadlingsförslag
- Anpassad behandlingsplan
Helt utan förpliktelser
- Inga förpliktelser
- Träffa en specialisttandläkare
- Få tillbaka tuggförmågan
- Få svar på alla dina frågor


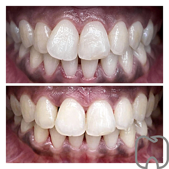
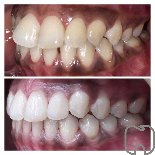
Fördelar med osynlig tandställning för vuxna i Stockholm
Först och främst, enkel hantering markerar en av de största fördelarna med osynlig tandställning. Du kan enkelt ta bort de genomskinliga skenorna när du äter, borstar tänderna eller vid speciella tillfällen. Därmed underlättar detta inte bara rengöringen av dina tänder utan också upprätthållandet av god munhygien. Dessutom, eftersom tandställningen är genomskinlig och diskret, påverkar den inte ditt utseende på samma sätt som traditionella tandställningar. Detta gör dem särskilt attraktiva för vuxna och tonåringar som önskar undvika synliga tandställningar.
Vidare är ClearCorrect och Invisalign tillverkade av mjuk och slät plast, vilket gör dem bekvämare att bära än traditionella metalltandställningar. De orsakar inte heller samma typ av irritation och sår som metalltrådar och stöd kan göra. Dessutom, för vissa patienter, erbjuder osynliga tandställningar snabbare resultat än traditionella tandställningar, eftersom de är utformade för att korrigera specifika tandproblem mer effektivt på kortare tid.

ClearCorrect vs Invisalign
Både ClearCorrect och Invisalign utnyttjar avancerad digital teknologi för att skapa anpassade tandställningar för varje patient. Denna teknik innebär att man tar skanningar av patientens tänder och skapar en serie genomskinliga skenor, kallade aligners, som gradvis justerar tandpositionen över tiden. Därför gör behandlingen både diskret och bekväm, eftersom man enkelt kan ta bort aligners för att äta och borsta tänderna.
Läs mer om ClearCorrect

Tandställning med Invisalign eller ClearCorrect i Stockholm
Om du föredrar en diskret lösning för ditt leende, kan ClearCorrect eller invisalign vara det rätta valet. Denna osynliga tandställning är både bekväm och kostnadseffektiv. Med Clear Correct kan du röra tänderna mer än bara framtänderna och planera behandlingen digitalt. Innan behandlingen påbörjas visar din tandläkare hur slutresultatet kommer att se ut, så att du kan vara delaktig i hela processen.
Invisalign och ClearCorrect erbjuder en skräddarsydd behandlingsplan för vuxna med en serie av aligners som du byter varannan vecka. Dessa skenor är av plastmaterial, vilket gör dem bekvämare än traditionell tandställning och mindre smärtsamma. Du kan fortsätta med din vardag utan att känna dig självmedveten om din tandreglering.
Välkommen på gratis konsultation- helt utan förpliktelser
Välkommen gratis konsultation till någon av våra kliniker klinik i Stockholm, där vi specialiserar oss på osynlig tandställning för vuxna. Vi erbjuder både Invisalign och Clear Correct till konkurrenskraftiga priser. Boka en konsultation idag och upplev fördelarna med en osynlig tandställning. Vi ser fram emot att hjälpa dig uppnå ditt drömleende på ett diskret och bekvämt sätt.