Tandställning i överkäke med Inman Aligner
Fall: 21 årig man kommer på konsultation. Stör sig på sina framtänder i överkäken.Vill gärna ha rakare och mer symmetriska tänder i överkäken. Detta fall har behandlats med den avtagbara tandställningen Inman Aligner för överkäken på några månader.
Behandlingen utförd av: tdl Golestani på Tandea Skärholmen.
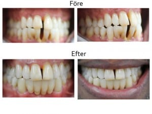
Nya tänder med tandkronor och tandbroar

Härligt patientfall på där patient fått tillbaka ett vacker leende.
48-årig kvinna kommer på undersökning. Vill ha tillbaka ett snyggt leende som hon haft tidigare i livet.
Behandling utförd av: tdl Golestani på Tandea Skärholmen.
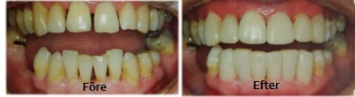
Full bettrehabilitering med hjälp av porslinsbroar och porslinskronor
Allmänt: medelålders kvinna. Besväras över nedsatt tuggförmåga. Önskar dessutom få bättre utseende. Underbett. Utförd behandling: full bettrehabilitering och återställning av bettet med kronor och broar i Zirkoniaporslin, framställda av Tandea Lab- vårt interna lab. Utförd av: tdl Ban Yousif, Tandea Skogås.
Porslinsfasader på två sidotänder (lateraler) i överkäken
Allmänt: medelålders kvinna som ville ha fasader sidotänderna i överkäken (tänderna 12,22). Hon har sedan tidigare porslinsfasader på centralerna (framtänderna)Undersökning visar att dessa två tänder har emaljfrakturer på skäret. Utförd behandling: två stycken porslinsfasader framställdes och cementerades fast. En nöjd och glad patient. Behandlingen utfördes av tandläkare Ban Yousif, Tandea Skogås.
Porslinskronor i överkäksfronten
Allmänt: Medelålders kvinna som länge velat ha ett snyggare leende. Hennes framtänder var triangulära i formen och hade lagats väldigt många gånger. Patienten önskade även att få en glugg mellan framtänderna. Utförd behandling: efter att porslinskronor gjorts på framtänderna blev patienten nöjd och känner sig säker med sitt leende igen. Utfört av tandläkare Kevin Mohseni, Skogås.
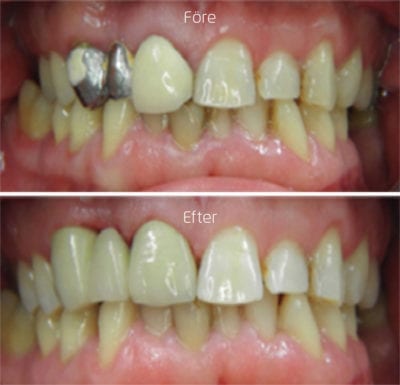
Tandburenbro i metallkeramik
Allmänt: 50-årig man som tidigare sökt hos annan vårdgivare för chipp-off fraktur på ök-bro, som i sin tur lappats och lagats utan framgång. Söker sig till oss och vill ha hjälp med sin ök-bro. Utförd behandling: en metallkeramisk bro i högerfront i överkäken. Behandling utförd av: Dr Golestani, Tandea Skärholmen
Tandburen bro i helporslin
Allmänt: 45-årig man med tandlucka i underkäken som söker sig till oss. Vill ha hjälp att ersätta luckan i underkäken. Utförd behandling: porslinsbro från hörntand till hörntand. Utförd av: Dr Golestani, Tandea Skärholmen

Tandkronor i porslin
Allmänt: En medelåldersman med tänder lappade och lagade med plast, som är missfärgade. Tandsten och tandlossning i underkäksfronten. Utförd behandling: porslinskronor i överkäken och porslinsbro i underkäken. Utförd av: tandläkare Kevin Mohseni, Tandea Skogås (hösten 2014).
Hel tandbro i underkäke, tandkronor och tandprotes i överkäke
Allmänt: 84 årig kvinna med nedsatt tuggfunktionen. Diagnoser: trasiga tänder i underkäksfronten, tandlossning och karies i överkäkens sidoområden. Utförd behandling: tandutradagning av dåliga tänder i överkäkens sidoområden. metallkeramiska kronor i överkäksfronten, och en helbro i keramik i underkäken. Utförd av: tandläkare Bewar Asa på Tandea Skärholmen (Hösten 2014)
Helbro i metallkeramik
Allmänt: 75- årig man, fullt frisk. Söker oss för att ena framtanden lossnar frekvent, Är dessutom missnöjd med tändernas utseénde, och önskar få hjälp i form av en hållbar konstruktion. Diagnoser: framtanden visade sig ha en rotfraktur, och tanden avlägsnades senare. Delvis tandlös i fronten efter tandutdragning och på höger sida bakom hörtanden. Utförd behandling: helbro i metallkeramig, samt en bettskena. Utförd av: tandläkre Hanne Sliwo (våren 2014)
Helimplantat i över- och underkäken
Allmänt: 51 årig kvinna med eftersatt tandhälsa. Är missnöjd med nuvarande utseénde och har dessutom tuggsvårigheter. Önskar få nya fasta tänder med kvalitét. Diagnoser: tandlöshet, generell tandlossning, karies, m.fl. Utförd terapi: utdragning av alla tänder i både över- och underkäken, och sedan implantat i hela munnen. Utförd av: tandläkare Hanne Sliwo (våren 2014)
Porslinskronor i både över- och underkäke
Allmänt: 46 årig man, som tidigare har arbetat i en miljö med byggdam. Gnisslar också tänder. Diagnoser: omfattande tandslitage, med skjunket bett till följd. Utförd behandling: porslinskronor i både över och underkäke, och slutligen en bettskena. Notera den nya betthöjden! Utförd av: tandläkare Hanne Sliwo (våren 2014)
Full tandbro i överkäke och en delbro i underkäken
Allmänt: 66 årig patient, som tidigare rökt, och levt stressigt. Klagar på tuggsvårigheter. Diagnoser: tidigare historia av tandlossning, tandlöshet (delvis), m.fl. Utförd behandling: fullbro i överkäken och delbro i underkäken. Behandlad av: tandläkare Kevin mohseni i Skogås (sommaren 2014)
Tandbro i överkäken i metallkeramik
Allmänt: 53 årig kvinna, som inte är nöjd med framtändernas utseende.Diagnoser: karies och tandlossning Behandling: behandling för grundsjukdomarna, och sedan en fullbro i överkäken i metallkeramik.Utförd av: tdl Dani Charro, Norsborg (sommaren 2014)
Porslinsbro(i Zirkonium) i underkäken

En 40 årig man som störde sig på att tänderna i underkäken hade rört sig utåt.
Diagnos: tandlossning i framtänderna i underkäken.
Behandling: fyra framtänder drogs ut i underkäken, och ersattes med bro/brygga i Zirkonium (helporslin). Zirkonium är ett material, som förekommer i naturen. Förutom att det är ett biologisk material, är det också väldigt starkt och ger en naturlig lyster och glans. Lämplig för högestetiska fall. Fallet utfördes (våren 2014) av tandläkare Alexander Vidana, Skogås
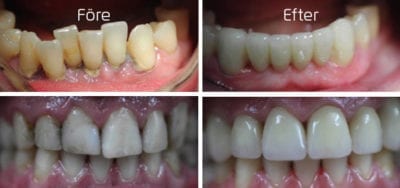
Trångställning I överkäken- behandling med tandställning Inman Eligner

Compositfasader i fronten

Lagning med composit framtänder

Allmänt: en 22 åring som besväras över mellanrummet mellan sidotänder och framtänder. Diagnos: diastema (mellanrum). Behandling: compositlagningar på framtänder för förslutning. Behandlare: tandläkare Victor Portillo (2013)
Lagning med compist framtand

1 åring som slagit sönder vänster framtand. Tillsånd: trauma. Behandling: compositlagning. Utförd av: tandläkare Delir Sharifan (2013).
Implantatbroar i överkäke och underkäke

Allmänt: Äldre man som är helt tandlös både över och underkäke. Har sedan tidigare haft helproteser, som han inte trivs med. Önskar få fasta tänder. Diagnos: full tandlöshet. Utförd behandling: sex implantatskruvar i överkäke, och sex implantatskruvar i underkäke inopererades. Sedan lämnade vi ut två implantatbroar, med porslin i överkäkfronten. Behandlare: Hanne Sliwo, tdl (2013).
Omgörning av bro i överkäksfronten

Allmänt: Medelålders kvinna, som söker oss för behandling. Patienten missnöjd med bron i fronten som är gjord i utlandet. Undersökning visar dessutom karies under bron. Diagnos: karies under bron. Utförd behandling: omgörning av bron i fronten. Nya bron i zirkoniaporslin (metallfri). Behandlare: Hanne Sliwo, tdl (2013).
Implantat hel överkäke

Medelåldersman, tidigare rökare. För övrigt frisk.
Diagnos: tandlossning i överkäken, och delvisis underkäken. Utförd behandling: tandutdragning av samtliga tänder i överkäken, behandling för tandlossningssjukdomen och slutligen implantatbehandling i överkäken. Dessutom blev patienten helt rökfri till följd av behandlingen, något som förbättrar prognosen för både nya och befintliga tänder avsevärt. Behandlare: Hanne Sliwo, tdl.
Porslinsonlay på kindtand

Amalgam på sista kindtanden ersatt med porslinsfyllning (onlay)
Porslinsfasader i överkäksfronten

Medelålders kvinna som önskar få finare leende. Diagnos: Tänderna i överkäken är glesställda och ojämna. Utförd behandling: De sex framtänderna (hörntand-hörntand) bekläds med tunna fasader av porslin. Notera harmonin så erhålls efter lite justering färg, form och storlek på de nya tänderna. Behandlare: Hanne Sliwo, tdl
Metallkeramisk bro

Medelålders man. Diagnos: utslagna framtänder i överkäken. Utförd terapi: bro i överkäksfronten med metallbundet porslin.
Porslinsonlay

Amalgamfyllning på sexårstanden ersätt med porslinsfyllning, s.k porslinsonlay
Tandblekning

Behandling med Stylage fillers













