Referenser
Ett axplock av fall med tandställning, porslinsfasader, tandblekning, fillers, tandimplantat m.fl. av våra Tandläkare i Stockholm

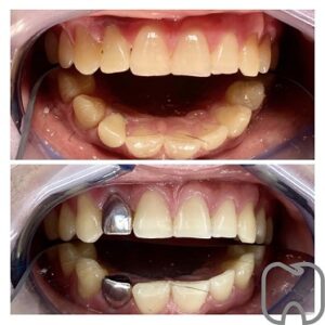
Krona i metall.
Våga visa tänderna och våga vara annorlunda.
Allmänt: patienten behöver ersätta en sjuk tand med en krona och önskar en tandkrona i metall.
På Tandea gillar vi olika, och att man vågar vara sig själv och sticka ut ur mängden.


Osynlig tandställning.
Allmänt: patienten söker sig till oss och önskar åtgärda mellanrummen mellan tänderna.
Utförd behandling: Behandling med Osynlig tandställning, ClearCorrect, under sex månader.
Behandlingen utförd av: Tandea Norsborg

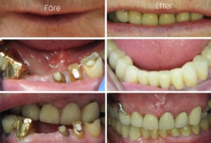
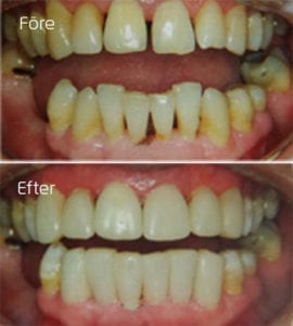
Full bettrehabilitering med hjälp av implantat, kronor och broar.
Allmänt: patienten söker sig till oss efter att ha undvikit tandläkarbesöken under flera års tid p.g.a. tandvårdsrädsla. Flera tänder har karies och är infekterade, en del tänder har även förlorats.
Utförd behandling: Sanering av karies och infektioner i munnen. När patientens mun är frisk ersätter man saknade/skadade tänder med implantat, kronor och broar.
Behandlingen utförd av: Tandea Barkarby

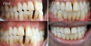
Osynlig tandställning med ClearCorrect
Allmänt: patienten söker sig till oss och önskar rakare tänder.
Utförd behandling: Osynlig tandställning med ClearCorrect.
Behandlingen utförd av: Tandläkare Francois, Tandea Norsborg.

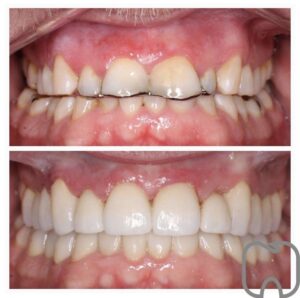
Osynlig tandställning och protetik
Allmänt: patient söker sig till oss och önskar ett mer estetiskt tilltalande bett.
Utförd behandling: Tandläkaren och patienten kommer tillsammans överens om en plan som innefattar tandreglering med ClearCorrect och protetiska konstruktioner för ett mer estetiskt tilltalande och funktionellt bett.
På bilden ser ni före, under och efter.
Behandlingen utförd av: Tandläkare Muhanned, Tandea Skogås

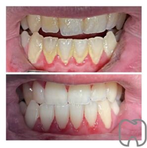
Tandhygienist behandling
Allmänt: patienten har inte fått en professionell rengöring av munnen på länge. Vilket har resulterat i inflammerat tandkött, ett tjockt lager av tandsten och gula missfärgningar på tänderna.
Utförd behandling: en professionell rengöring utförs i form av tandstensborttagning, airflow och polering av samtliga tänder.
Behandlingen utförd av: Tandea Skärholmen.

Fast protes med tandimplantat
En fast protes är dyrare än en avtagbar protes. Men en fast protes blir mer lik och känns mer som dina egna tänder när de sitter fast i käken.
Allmänt: en kvinna i 50 års åldern söker sig till oss med väldigt försummade tänder. De tänder som finns kvar är i väldigt dåligt skick och behöver dras ut.
Utförd behandling: patienten får implantatskruvar i över- och underkäken där man sedan fäster en hel protes. Protetiken är framställd på Tandea Lab.
Behandlingen utförd av: Tandläkare Francois, Tandea Norsborg.

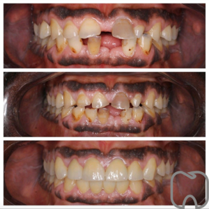
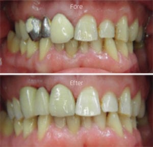
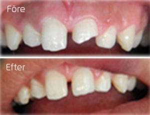
Tandimplantat
Allmänt: patienten kommer till oss efter att ha bitit sönder en tand
Diagnoser: en del av den gamla protetiken och ett par tänder är så illa däran att de behöver tas bort.
Utförd behandling: tandluckorna ersätts med implantat, som ses på första bilden, därefter görs en implantatbro och de trasiga kronorna i fronten byts ut till nya. Protetiken är framställd på Tandea Lab.
Behandlingen utförd av: Tandläkare Muhanned, Tandea Skogås.

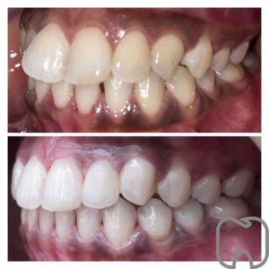
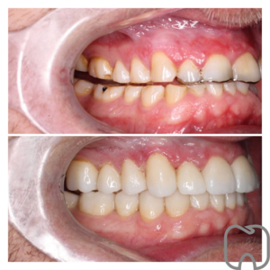
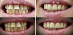
Osynlig tandställning med ClearCorrect
Allmänt: patienten önskar få rakare tänder.
Utförd behandling: Osynlig tandställning med ClearCorrect under 8 månader
Behandlingen utförd av: Tandläkare Mohammad, Tandea Barkarby.

Fortsättning på fall ovan: Bilder från sidan.

Tandkronor och broar i zirkonia och Emax
Allmänt: en man söker sig till oss efter flera års försummelse av sin munhygien.
Diagnoser: flertalet tänder är kraftigt karierade.
Utförd behandling: en sex månader lång sanering och behandling av kariessjukdom utförs. Därefter får patienten nya tandkronor och broar i materialen zirkonia och Emax. Kronorna är framställda på Tandea Lab.
Behandlingen utförd av: Tandläkare Francois, Tandea Norsborg.

Betthöjning med zirkonia kronor
Allmänt: en man kommer till oss med kraftigt nedslitna tänder. Slitaget på tänderna är så omfattande att sidotänderna saknar kontakt.
Diagnoser: flertalet nedslitna tänder med omfattande tandsubstansförlust.
Utförd behandling: en betthöjning utförs med 24 stycken zirkonia kronor i över- och underkäke. Kronorna är framställda på Tandea Lab.
Behandlingen utförd av: Tandläkare Muhanned, Tandea Skogås

Fortsättning på fall ovan: Bilder från sidan där tandslitagets omfattning syns väldigt tydligt.

Tandblekning
Allmänt: patienten söker oss för att fräscha upp sitt leende med en tandblekning
Diagnoser: en undersökning görs för att säkerställa att mun och tänder är friska och kariesfria.
Utförd behandling: klinikblekning med Opalescence blekmedel.
Behandlingen utförd av: Tandläkare Mohammad, Tandea Barkarby

Tandkronor i Zirkonia
Allmänt: patienten söker oss för att få se finare ut i mun. Han har generella abrasioner och tandslitage
Diagnoser: flertalet tänder trasiga, och nerslitna.
Utförd behandling: nya helkeramiska kronor i överkäke i zirkoniamaterial, framställda av Tandea Lab
Behandlingen utförd av: Tandläkare hanne Sliwo, Tandea Hjorthagen

Tandbroar i Zirkonia
Allmänt: Patienten söker oss för bettrehabilitering. Han har nedsatt tuggförmåga och besväras även över tänderna utseende.
Diagnoser: flertalet tänder trasiga, och nerslitna.
Utförd behandling: nya helkeramiska kronor i överkäken, och en full helkeramisk bro i underkäken, i zirkoniamaterial.
Behandlingen utförd av: Tandläkare George Grabecz, Tandea Handen

Tandställning i överkäke med Inman Aligner
Allmänt: 21 årig man kommer på konsultation. Stör sig på sina framtänder i överkäken. Vill gärna ha rakare och mer symmetriska tänder i överkäken. Detta fall har behandlats med den avtagbara tandställningen Inman Aligner för överkäken på några månader.
Behandlingen utförd av: Tandläkare Golestani på Tandea Skärholmen.

Nya tänder med tandkronor och tandbroar
Allmänt: Härligt patientfall på där patient fått tillbaka ett vacker leende. 48-årig kvinna kommer på undersökning. Vill ha tillbaka ett snyggt leende som hon haft tidigare i livet.
Behandlingen utförd av: Tandläkare Golestani på Tandea Skärholmen.

Full bettrehabilitering med hjälp av porslinsbroar och porslinskronor
Allmänt: Medelålders kvinna. Besväras över nedsatt tuggförmåga. Önskar dessutom få bättre utseende. Underbett.
Utförd behandling: Full bettrehabilitering och återställning av bettet med kronor och broar i Zirkoniaporslin, framställda av Tandea Lab- vårt interna lab.
Behandling utförd av: Tandläkare Ban Yousif, Tandea Skogås.

Porslinsfasader på två sidotänder (lateraler) i överkäken
Allmänt: Medelålders kvinna som ville ha fasader sidotänderna i överkäken (tänderna 12,22). Hon har sedan tidigare porslinsfasader på centralerna (framtänderna)Undersökning visar att dessa två tänder har emaljfrakturer på skäret.
Utförd behandling: Två stycken porslinsfasader framställdes och cementerades fast. En nöjd och glad patient.
Behandlingen utfördes av: Tandläkare Ban Yousif, Tandea Skogås.

Porslinskronor i överkäksfronten
Allmänt: Medelålders kvinna som länge velat ha ett snyggare leende. Hennes framtänder var triangulära i formen och hade lagats väldigt många gånger. Patienten önskade även att få en glugg mellan framtänderna.
Utförd behandling: Efter att porslinskronor gjorts på framtänderna blev patienten nöjd och känner sig säker med sitt leende igen.
Behandling utförd av: Tandläkare Kevin Mohseni, Skogås.

Tandburenbro i metallkeramik
Allmänt: 50-årig man som tidigare sökt hos annan vårdgivare för chipp-off fraktur på ök-bro, som i sin tur lappats och lagats utan framgång. Söker sig till oss och vill ha hjälp med sin ök-bro.
Utförd behandling: En metallkeramisk bro i högerfront i överkäken.
Behandling utförd av: Dr Golestani, Tandea Skärholmen

Tandburen bro i helporslin
Allmänt: 45-årig man med tandlucka i underkäken som söker sig till oss. Vill ha hjälp att ersätta luckan i underkäken.
Utförd behandling: Porslinsbro från hörntand till hörntand.
Behandling utförd av: Dr Golestani, Tandea Skärholmen

Tandkronor i porslin
Allmänt: En medelåldersman med tänder lappade och lagade med plast, som är missfärgade. Tandsten och tandlossning i underkäksfronten.
Utförd behandling: Porslinskronor i överkäken och porslinsbro i underkäken.
Behandling utförd av: Tandläkare Kevin Mohseni, Tandea Skogås (hösten 2014).

Hel tandbro i underkäke, tandkronor och tandprotes i överkäke
Allmänt: 84 årig kvinna med nedsatt tuggfunktionen.
Diagnoser: Trasiga tänder i underkäksfronten, tandlossning och karies i överkäkens sidoområden.
Utförd behandling: Tandutradagning av dåliga tänder i överkäkens sidoområden. metallkeramiska kronor i överkäksfronten, och en helbro i keramik i underkäken.
Behandling utförd av: Tandläkare Bewar Asa på Tandea Skärholmen (Hösten 2014).

Helbro i metallkeramik
Allmänt: 75- årig man, fullt frisk. Söker oss för att ena framtanden lossnar frekvent. Är dessutom missnöjd med tändernas utseende, och önskar få hjälp i form av en hållbar konstruktion.
Diagnoser: Framtanden visade sig ha en rotfraktur, och tanden avlägsnades senare. Delvis tandlös i fronten efter tandutdragning och på höger sida bakom hörntanden.
Utförd behandling: Helbro i metallkeramik, samt en bettskena.
Behandling utförd av: Tandläkare Hanne Sliwo (våren 2014).

Helimplantat i över- och underkäken
Allmänt: 51 årig kvinna med eftersatt tandhälsa. Är missnöjd med nuvarande utseénde och har dessutom tuggsvårigheter. Önskar få nya fasta tänder med kvalitét.
Diagnoser: Tandlöshet, generell tandlossning, karies, m.fl.
Utförd behandling: Utdragning av alla tänder i både över- och underkäken, och sedan implantat i hela munnen.
Behandling utförd av: Tandläkare Hanne Sliwo (våren 2014).

Porslinskronor i både över- och underkäke
Allmänt: 46 årig man, som tidigare har arbetat i en miljö med byggdam. Gnisslar också tänder.
Diagnoser: Omfattande tandslitage, med skjunket bett till följd.
Utförd behandling: Porslinskronor i både över och underkäke, och slutligen en bettskena. Notera den nya betthöjden!
Behandling utförd av: Tandläkare Hanne Sliwo.

Full tandbro i överkäke och en delbro i underkäken
Allmänt: 66 årig patient, som tidigare rökt, och levt stressigt. Klagar på tuggsvårigheter.
Diagnoser: Tidigare historia av tandlossning.
Utförd behandling: Fullbro i överkäken och delbro i underkäken.
Behandling utförd av: Tandläkare Kevin mohseni i Skogås.

Porslinsbro i metallkeramik i överkäken
Allmänt: 53 årig kvinna, som inte är nöjd med framtändernas utseende.Diagnoser: karies och tandlossningutförd.
Utförd behandling: Behandling för grundsjukdomarna, och sedan en fullbro i överkäken i metallkeramik.
Behandling utförd av: Tandläkare Dani Charro, Norsborg.

Trångställning I överkäken- behandling med tandställning Inman Eligner
Diagnos: utrymmesbrist / trångställning i överkäksfronten.
Utförd behandling: Utrymme skapades först med hjälp av expansion och sedan användes en Inman Aligner för att räta upp tänderna. Förvandlingen slutfördes med blekning och compositefyllningsterapi och denna unga man var förtjust över resultatet.

Porslinsbro (i Zirkonium) i underkäken
Allmänt: En 40 årig man som störde sig på att tänderna i underkäken hade rört sig utåt.
Diagnos: Tandlossning i framtänderna i underkäken.
Utförd behandling: Fyra framtänder drogs ut i underkäken, och ersattes med bro/brygga i Zirkonium (helporslin). Zirkonium är ett material, som förekommeri naturen. Förutom att det är ett biologisk material, är det också väldigt starkt och ger en naturlig lyster och glans. Lämplig för högestetiska fall.
Behandling utförd av: Tandläkare Alexander Vidana, Skogås (våren 2014).

Compositfasader i fronten
Allmänt: En medelålders man, som störde sig på att tänderna är missfärgade och ojämna.
Diagnos: Ojämna tänder och retarderad tandkött.
Utförd behandling: Tänderna försattes med senaste tekniken i form av prefabricerade compositfasader. Fördelen med dessa fasader är att de är mycket billigare än traditionella porslinsfasader, och att man inte behöver slipa ner de egna tänderna.
Behandling utförd av: Tandläkare Delir Sharifian i Skärholmen (2013).

Lagning med composit framtänder
Allmänt: En 22 åring som besväras över mellanrummet mellan sidotänder och framtänder.
Diagnos: Diastema (mellanrum).
Utförd behandling: Compositlagningar på framtänder för förslutning.
Behandling utförd av: Tandläkare Victor Portillo (2013).

Lagning med compist framtand
Allmänt: 1 åring som slagit sönder vänster framtand.
Tillsånd: Trauma.
Utförd behandling: Compositlagning.
Behandling utförd av: Tandläkare Delir Sharifan (2013).

Implantatbroar i överkäke och underkäke
Allmänt: Äldre man som är helt tandlös både över och underkäke. Har sedan tidigare haft helproteser, som han inte trivs med. Önskar få fasta tänder. Diagnos: full tandlöshet.
Utförd behandling: Sex implantatskruvar i överkäke, och sex implantatskruvar i underkäke inopererades. Sedan lämnade vi ut två implantatbroar, med porslin i överkäkfronten.
Behandling utförd av: Tandläkare Hanne Sliwo (2013).

Omgörning av bro i överkäksfronten
Allmänt: Medelålders kvinna, som söker oss för behandling. Patienten missnöjd med bron i fronten som är gjord i utlandet. Undersökning visar dessutom karies under bron.
Diagnos: Karies under bron.
Utförd behandling: Omgörning av bron i fronten. Nya bron i zirkoniaporslin (metallfri).
Behandling utförd av: Tandläkare Hanne Sliwo (2013).

Implantat hel överkäke
Allmänt: Medelåldersman, tidigare rökare. För övrigt frisk.
Diagnos: Tandlossning i överkäken, och delvisis underkäken.
Utförd behandling: Tandutdragning av samtliga tänder i överkäken, behandling för tandlossningssjukdomen och slutligen implantatbehandling i överkäken. Dessutom blev patienten helt rökfri till följd av behandlingen, något som förbättrar prognosen för både nya och befintliga tänder avsevärt.
Behandling utförd av: Tandläkare Hanne Sliwo.

Porslinsonlay på kindtand
Allmänt: Amalgam på sista kindtanden ersatt med porslinsfyllning (onlay).

Porslinsfasader i överkäksfronten
Allmänt: Medelålders kvinna som önskar få finare leende.
Diagnos: Tänderna i överkäken är glesställda och ojämna.
Utförd behandling: De sex framtänderna (hörntand-hörntand) bekläds med tunna fasader av porslin. Notera harmonin så erhålls efter lite justering färg, form och storlek på de nya tänderna.
Behandling utförd av: Tandläkare Hanne Sliwo.

Metallkeramisk bro
Allmänt: Medelålders man.
Diagnos: Utslagna framtänder i överkäken.
Utförd behandling: Bro i överkäksfronten med metallbundet porslin.

Porslinsonlay
Allmänt: Amalgamfyllning på sexårstanden ersätt med porslinsfyllning, s.k porslinsonlay.

Tandblekning


